
أجرى الدكتور فيد بي جوسوامي (المملكة المتحدة)، استشاري جراحة العظام في ميديكلينيك مستشفى المدينة بدبي، أول جراحة استبدال الكتف بمساعدة الحاسوب في الشرق الأوسط، باستخدام تقنية جديدة تسمح بالتنقل في الموقع الجراحي بعرض مباشر.
توفر التقنية الجديدة لاستبدال الكتف الكلي، ExactechGPS Total Shoulder Application ، للجراح نموذج حاسوب ثلاثي الأبعاد في الوقت الفعلي لكتف المريض أثناء الجراحة، يقوم بالجمع بين صور الأشعة المقطعية وبيانات من أدوات مثبتة بكاميرات صغيرة تعمل بالأشعة تحت الحمراء. يسمح البرنامج للجراح بتوجيه مثقاب عظمي مثبت بكاميرا تعمل بالأشعة تحت الحمراء إلى الموقع الدقيق المحدد أثناء التخطيط قبل العملية وتحديد عمق الحفر وموضع اللولب والقدرة على ضبط الخطة الجراحية السابقة للعملية، إذا لزم الأمر. تتواصل الكاميرات مع جهاز حاسوب لوحي يعرض نموذجًا رقميًا لكتف المريض، ويظهر موقع الحفر مثل نقطة على تطبيق الخرائط بهاتف ذكي.
يسمح البرنامج للجراحين بالتخطيط الفعلي للعملية باستخدام نموذج تشريحي ثلاثي الأبعاد لكتف المريض مع صور من الأشعة المقطعية. وأشار الدكتور جوسوامي إلى أنه قد يكون من الصعب الحصول على رؤية كاملة لتشريح كتف المريض أثناء الجراحة الفعلية.
وبهذا الشأن قال الدكتور جوسوامي: “هذه التقنية تحسن الدقة بشكل كبير”. وأضاف: “تسمح التقنية بوضع الغرسات بدقة. قد تسمح العين البشرية لأي جراح متمرس بوضع الغرسة إلا أن دقة الموقع ستكون في حدود 3 إلى 5 ملم. ومع هذه التقنية، فإنه يسمح بوضعها في حدود 1-2 ملم.
تمنح التقنية للجراح خريطة لوضع براغي الزرع، وتحسين ما هو ممكن بالعين البشرية. من المتوقع أن تنتج هذه التقنية غرسات أكثر أمانًا ودائمة مع مضاعفات أقل.
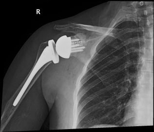
أجرى الدكتور فيد بي جوسوامي الجراحة في الخامس من مايو 2023 في ميديكلينيك مستشفى المدينة، دبي ، الإمارات العربية المتحدة، على الكتف الأيمن للسيدة إي، وهي من سكان دبي، والتي تسبب التهاب المفاصل الحاد فيها بألم شديد في مفاصلها. كان كتفها شديد الصلابة مع خسارة كبيرة في العظام ومع عدم انتظام مقبض الكتف. حيث قدم نظام الجراحة بمساعدة الحاسوب ExactechGPS نموذجاً ثلاثي الأبعاد في الوقت الفعلي لكتف المريضة، مما مكن د. جوسوامي من إعادة بناء المقبس باستخدام غرسة معززة لاستعادة المحاذاة أثناء إجراء الاستبدال العكسي.
قالت السيدة إي إنها تأمل في أن تساعد التقنية الجديدة كثيرين يعانون مثلها، مما يسمح بإجراء عمليات جراحية أكثر أمانًا ونجاحًا. قالت عن تعافيها بعد أسبوع من الجراحة: “حتى الآن، فكل شيء على ما يرام”. “ولا بد لي من تذكير نفسي باستمرار بإبقاء ذراعي منخفضة وعدم استخدام يدي. وأشعر بتحسن كبير “.