الذكاء الصناعي يقرأ الأفكار وينصّها

الرئيسية منوعات
الذكاء الصناعي يقرأ الأفكار وينصّها

 

 

 

 

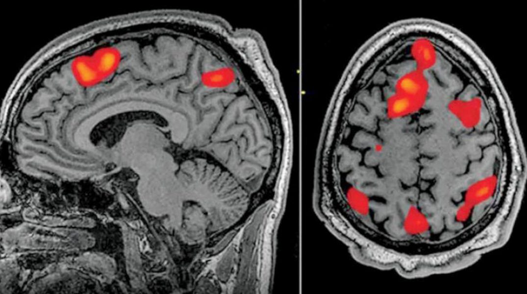
طُوّر جهاز فك ترميز يعتمد على الذكاء الصناعي، قادر على ترجمة نشاط الدماغ إلى نص متدفق باستمرار، في اختراق يتيح قراءة أفكار المرء بطريقة غير جراحية، وذلك للمرة الأولى على الإطلاق، حسب صحيفة «الغارديان» البريطانية.

وبمقدور جهاز فك الترميز إعادة بناء الكلام بمستوى هائل من الدقة، أثناء استماع الأشخاص لقصة ما – أو حتى تخيلها في صمت – وذلك بالاعتماد فقط على مسح البيانات بالتصوير بالرنين المغناطيسي الوظيفي فقط.

وجدير بالذكر أن أنظمة فك ترميز اللغة السابقة استلزمت عمليات زراعة جراحية. ويثير هذا التطور الأخير إمكانية ابتكار سبل جديدة لاستعادة القدرة على الكلام لدى المرضى الذين يجابهون صعوبة بالغة في التواصل، جراء تعرضهم لسكتة دماغية أو مرض العصبون الحركي.

في هذا الصدد، قال الدكتور ألكسندر هوث، عالم الأعصاب الذي تولى قيادة العمل داخل جامعة تكساس في أوستن: «شعرنا بالصدمة نوعاً ما؛ لأنه أبلى بلاءً حسناً. عكفت على العمل على هذا الأمر طيلة 15 عاماً… لذلك كان الأمر صادماً ومثيراً عندما نجح أخيراً».

ويذكر أنه من المثير في هذا الإنجاز أنه يتغلب على قيود أساسية مرتبطة بالتصوير بالرنين المغناطيسي الوظيفي، وترتبط بحقيقة أنه بينما يمكن لهذه التكنولوجيا تعيين نشاط الدماغ إلى موقع معين بدقة عالية على نحو مذهل، يبقى هناك تأخير زمني كجزء أصيل من العملية، ما يجعل تتبع النشاط في الوقت الفعلي في حكم المستحيل.

ويقع هذا التأخير لأن فحوصات التصوير بالرنين المغناطيسي الوظيفي تقيس استجابة تدفق الدم لنشاط الدماغ، والتي تبلغ ذروتها وتعود إلى خط الأساس خلال قرابة 10 ثوانٍ، الأمر الذي يعني أنه حتى أقوى جهاز فحص لا يمكنه تقديم أداء أفضل من ذلك.

وتسبب هذا القيد الصعب في إعاقة القدرة على تفسير نشاط الدماغ استجابة للكلام الطبيعي؛ لأنه يقدم «مزيجاً من المعلومات» منتشراً عبر بضع ثوانٍ.

ورغم ذلك، نجحت نماذج اللغة الكبيرة – المقصود هنا نمط الذكاء الصناعي الذي يوجه «تشات جي بي تي» – في طرح سبل جديدة. وتتمتع هذه النماذج بالقدرة على تمثيل المعنى الدلالي للكلمات بالأرقام، الأمر الذي يسمح للعلماء بالنظر في أي من أنماط النشاط العصبي تتوافق مع سلاسل كلمات تحمل معنى معيناً، بدلاً من محاولة قراءة النشاط كلمة بكلمة.

وجاءت عملية التعلم مكثفة؛ إذ طُلب من ثلاثة متطوعين الاستلقاء داخل جهاز ماسح ضوئي لمدة 16 ساعة لكل منهم، والاستماع إلى مدونات صوتية. وجرى تدريب وحدة فك الترميز على مطابقة نشاط الدماغ للمعنى باستخدام نموذج لغة كبير أطلق عليه «جي بي تي – 1»، الذي يعتبر سلف «تشات جي بي تي».وكالات

 

 

 

 

 

عقار لإنقاص الوزن يثير ضجة بين المشاهير

 

تفيد الوكالة الأوروبية للأدوية، في وصفها بشأن تأثير أحد الأدوية المضادة للسمنة، بأنه ينظم الشهية ويزيد من الشعور بالشبع ويقلل من الشعور بالجوع، حسب وكالة الأنباء الألمانية.

وكان عدد من هذه الأدوية قد تسبب في إثارة ضجة على وسائل التواصل الاجتماعي خلال الأشهر الأخيرة؛ حيث يرجع ذلك جزئياً إلى أن العديد من المشاهير والشخصيات المؤثرة في المجتمع، قالوا إنهم فقدوا وزنهم من خلالها. وكان الملياردير الأميركي إيلون ماسك، قال في أواخر العام الماضي، رداً على تعليق على موقع «تويتر» بشأن فقدان وزنه، إنه تمكن من تحقيق ذلك عن طريق اللجوء للصيام والاستعانة بـ«ويغوفي». والاسم العلمي للعقار هو «سيماغلوتايد»، وتقوم شركة الأدوية الدنماركية المتعددة الجنسيات «نوفو نورديسك» بتصنيعه.

وكانت قد تمت الموافقة عليه في الولايات المتحدة تحت الاسم التجاري «أوزمبيك»، لعلاج البالغين المصابين بداء السكري من النوع الثاني في عام 2017، ثم تمت الموافقة عليه في الاتحاد الأوروبي في عام 2018. ويعمل العقار على خفض نسبة السكر والهيموغلوبين إيه 1 سي (الهيموغلوبين المغطى بالجلوكوز في خلايا الدم الحمراء) في الدم، بالإضافة إلى خفض المستويات التي تقلل من مضاعفات مرض السكري.

ومن جانبه، يقول الدكتور ستيفان بيترسين، المتحدث باسم الجمعية الألمانية لعلوم الغدد الصماء: «يسألني المزيد والمزيد من مرضاي بشأنه (العقار)». وكانت قد تمت الموافقة على عقار «ويغوفي»، وهو إصدار ذو جرعة أعلى من «أوزمبيك»، بالولايات المتحدة في عام 2021، بوصفه علاجا لإنقاص الوزن للبالغين الذين يعانون من السمنة المفرطة.

ويشار إلى أن «سيماغلوتايد» ليس هو العقار الوحيد الخاص بالتغلب على السمنة في الأسواق. ولكن الأدوية الأخرى، يجب أن يتم الخضوع لها من مرة إلى ثلاث مرات يوميا، بحسب الدراسة.

ومن الممكن أن تتراوح تكاليف العقار من نحو 80 يورو إلى 200 يورو أسبوعياً (أي ما يتراوح بين 88 دولاراً و219 دولاراً)، وذلك بناء على الجرعة المتبعة.وكالات

 

 

 

 

نجاح توصيل العلاج الكيميائي للدماغ للمرة الأولى

 

من العوائق الرئيسية التي تحول دون علاج الورم الأرومي الدبقي المميت من سرطان الدماغ، أن «العلاج الكيميائي الأكثر (فاعلية) لا يمكن أن يتجاوز الحاجز الدموي الدماغي للوصول إلى ورم الدماغ العدواني». والحاجز الدموي الدماغي عبارة عن بنية مجهرية تحمي الدماغ من أي بكتيريا أو مواد «ضارة» يُمكن أن تصل إليه، لكن هذه الميزة تتحول إلى عقبة كبيرة عندما يصاب الدماغ بمرض، وتصبح هناك حاجة لتوصيل الدواء إليه، لذلك لا يمكن علاج مرضى سرطان الدماغ بمعظم الأدوية التي تكون «فعالة» في علاج السرطان في أماكن أخرى من الجسم.

لكن علماء جامعة نورث وسترن ميديسين الأميركية، أبلغوا الآن عن نتائج أول تجربة إكلينيكية على البشر، استخدموا فيها جهازاً جديداً للموجات فوق الصوتية يمكن زرعه في الجمجمة لفتح الحاجز الدموي الدماغي لتقديم العلاج الكيميائي عن طريق الحقن في الوريد، وتم الإعلان عن ذلك بدورية «لانسيت أونكولوجي».

ولا تحتاج عملية فتح الحاجز الدموي الدماغي أكثر من أربع دقائق، وتتم دون حاجة إلى تخدير، ويعود المريض إلى المنزل بعد بضع ساعات. وتظهر النتائج أن «العلاج باستخدام هذه الطريقة (آمن) وجيد التحمل، حيث يحصل بعض المرضى على ما يصل إلى ست دورات من العلاج».

ويقول آدم سونابند، الأستاذ المساعد في جراحة الأعصاب في كلية الطب بجامعة نورث وسترن، الباحث الرئيسي بالدراسة، في تقرير نشره (الثلاثاء) الموقع الإلكتروني للجامعة: «هذه هي الدراسة الأولى التي نجحت في تحديد تأثير فتح الحاجز الدموي الدماغي المستند إلى الموجات فوق الصوتية على تركيزات العلاج الكيميائي في الدماغ البشري، وأظهرت النتائج أن فتح الحاجز الدموي الدماغي أدى إلى زيادة ما يقرب من أربعة إلى ستة أضعاف في تركيزات الأدوية في الدماغ البشري». وأضاف: «لاحظنا هذه الزيادة مع اثنين من عقاقير العلاج الكيميائي القوية المختلفة، (باكليتاكسيل) و(كاربوبلاتين)، وهذه الأدوية كانت لا تستخدم لعلاج هؤلاء المرضى، لأنها لا تعبر الحاجز الدموي الدماغي في الظروف العادية».

وبالإضافة إلى النجاح في فتح الحاجز الدموي لتسليم الدواء، يوضح الباحثون أن «هذه هي الدراسة الأولى التي تصف مدى سرعة إغلاق الحاجز الدموي الدماغي بعد فتحه بالموجات فوق الصوتية». وقال سونابند: «اكتشفنا أن استعادة الحاجز الدموي الدماغي تحدث في أول 30 إلى 60 دقيقة بعد الصوتية».وكالات

 

 

 

 

الوحدة أشد قتلاً من التدخين والسمنة

 

هناك شعور مرتبط بزيادة مخاطر الإصابة بالنوبات القلبية والاكتئاب والسكري والوفاة المبكرة والجريمة أيضاً في الولايات المتحدة، وهو الشعور بالوحدة أو العزلة. وهذا الشعور يؤثر على الأشخاص بغض النظر عن مكان إقامتهم أو من هم، وفقاً لما نقلت صحيفة «الغارديان» عن الجراح العام الأميركي فيفيك مورثي.

ونصح مورثي المسؤولين الحكوميين والأفراد بالتعاطي مع الموضوع ومعالجته بالإلحاح نفسه التي يتم التعاطي معه في الحالات الخطيرة الأخرى، مثل السمنة أو إدمان المخدرات، خصوصاً مع استمرار ارتفاع أعداد الأشخاص الذين يعانون العزلة.

وأوضح مورثي أن الدراسات الطبية وجدت أن نحو نصف البالغين الأميركيين يعانون الوحدة، لا سيما بعد تفشي جائحة فيروس كورونا، مؤكداً أن «العزلة هي أكثر بكثير من مجرد شعور سيئ».

وأوضح أن «تأثير الانعزال الاجتماعي على زيادة الوفيات مشابه للتأثير الناتج من تدخين ما يصل إلى 15 سيجارة في اليوم». وأضاف «بل إن تأثيرها على حدوث الوفيات أكبر من السمنة وقلة النشاط البدني».

مورثي الذي كتب عن تجربته الشخصية مع الوحدة والشعور بالعزلة لسنوات عدة، أوضح أن «كورونا» أدى إلى تعطيل التماسك الاجتماعي، داعياً إلى سياسات جديدة لتعزيز الارتباط الاجتماعي، وبذل جهد جماعي «لإصلاح النسيج الاجتماعي للأمة.

وكانت إحدى الدراسات التي تم الاستشهاد بها في تقرير مورثي قد وجدت أن التراجع في الروابط الاجتماعية تسارع خلال وباء «كوفيد – 19»، مع انخفاض بنسبة 16 في المائة في حجم شبكات الصداقة بين عامي 2019 و2020.

ووفقاً لتقرير مورثي، فإن 49 في المائة من الأميركيين لديهم «ثلاثة أو أقل من الأصدقاء المقربين» في العام 2021، مقارنة بنسبة 27 في المائة في العام 1990.

يستشهد تقرير مورثي باستطلاع رأي أجري في سبعينات القرن الماضي، حيث قال 45 في المائة من الأميركيين إنه بإمكانهم أن يثقوا بأميركيين آخرين، وانخفض ذلك إلى 30 في المائة تقريباً بحلول عام 2016. وبين عامي 2003 و2020، زاد الوقت الذي يقضيه الأميركيون بمفردهم بمقدار 24 ساعة في الشهر، وانخفض الوقت مع الأصدقاء بمقدار 10 ساعات في الشهر.

ووفقاً لمورثي، فإن هذه التغييرات إلى جانب تدفق خدمة التوصيل إلى المنازل والتغييرات الأخرى التي تحدّ من التفاعلات الشخصية، يمكن أن تجعل الناس يشعرون بالانفصال.

وفيما يتعلق بتأثير التكنولوجيا ووسائل التواصل الاجتماعي، خصوصاً على الشباب والمراهقين، أشار تقرير مورثي إلى دراسة وجدت أن ثلث الأشخاص الذين تزيد أعمارهم على 18 عاماً في الولايات المتحدة قالوا إنهم متصلون بالإنترنت بشكل مستمر طوال يومهم تقريباً.

وحث مورثي الآباء على تخصيص وقت للصغار للتواصل الاجتماعي بعيداً عن التكنولوجيا، وتأخير السن الذي ينضم فيه الأطفال إلى منصات التواصل الاجتماعي.وكالات

 

 

 

 

العثور على مقبرة تحت الماء في فلوريدا عمرها 162 عاماً

 

عثر فريق من العلماء على كنز تاريخي مدفون تحت الماء منتزه في ولاية فلوريدا الأمريكية، والذي يعتبر محمية طبيعية، بإشراف وزارة البيئة في البلاد.

وعثر العلماء على بقايا مستشفى ومقبرة من القرن التاسع عشر في المنتزه المائي نتيجة دراسات استقصائية بدأت منذ أغسطس 2022، على امتداد 259 كلم مربع، في إطار مشروع مشترك بين عدد من إدارات حكومية تابعة لوزارات بالسياحة والبيئة والآثار، مع مجموعة طلاب الدراسات العليا من جامعة ميامي.

ووفق بيان مشترك بين الجهات المعنية بالدراسة، تم تحديد موقع مقبرة “فورت جيفرسون بوست”، التي ضمت عدداً كبيراً من المدافن، منها التي لا تزال بحالة جيدة، كقبر أحد عمال المحمية الذي قضى في 5 نوفمبر 1861، وفقاً لما نقلته مجلة بيبول.

تضم المقبرة المكتشفة رفات الجنود الأمريكيين الذي كانوا متمركزين في قاعدة “فورت جيفرسون” العسكرية، كما تضم جثامين العديد من المهندسين، موظفي الدعم وحتى السجناء وعائلاتهم، الذين كانوا يقيمون في تلك المنطقة لسنوات طويلة.

وحلّل العلماء أن تفشي العديد من الأمراض المعدية في تلك المنطقة آنذاك، تسبب في خسائر فادحة بين المقيمين، ما أسفر عن وفاة العشرات خلال ستينيات وسبعينيات القرن التاسع عشر، وهو ما أثبتته بقايا مواقع الحجر الصحي في أطلال المستشفى، عن سيطرة مرض الحمى الصفراء.

ووفقاً لتقرير “سي بي أس” أشار عالم الآثار البحرية جوش مارانو أن الاكتشاف يسلط الضوء على احتمالية وجود قصص غير غامضة، حيث تم استخدام المنطقة أيضاً كموقع لاستخراج الفحم البحري، ومرفق حجر صحي.وكالات

 

 

 

 

رقائق دماغية ثورية لعلاج العمى والصمم والاكتئاب

 

ابتكرت شركة بلاكروك نيوروتيك البريطانية، شرائح “نيوروبورت” التي يأمل العلماء بأن تكون قادرة على علاج العديد من المشاكل الصحية الخطيرة.

وقد قام باحثو الشركة بزرع الرقائق الدماغية لأكثر من 50 مريضاً، بهدف علاجهم من الشلل والعمى والصمم والاكتئاب.

يمكن للشريحة، المعروفة باسم “نيوروبورت أراي”، أن تساعد الأشخاص في التحكم في الأذرع الروبوتية والكراسي المتحركة، ولعب ألعاب الفيديو، وحتى الشعور بالأحاسيس.

تستخدم الشريحة ما يقرب من 100 إبرة دقيقة لقراءة الإشارات الكهربائية التي تنتجها أفكار الشخص، والتي يتم فك تشفيرها بعد ذلك إلى أوامر رقمية مثل حركات المؤشر التي يمكن استخدامها للتحكم في الأطراف الصناعية وأجهزة الكمبيوتر.

تكتشف الرقاقة التي تحتوي على 96 مصفوفة الإشارات الكهربائية الناتجة عن أفكار مرتديها وتفك تشفير هذه الإشارات باستخدام برامج التعلم الآلي. وتسعى الشركة المنتجة الآن للحصول على موافقة إدارة الأغذية والعقاقير (FDA) لجهاز طبي جديد يسمى “موف أغين”، وهو مصمم خصيصاً للاستخدام المنزلي من قبل الأشخاص المصابين بالشلل.

كما تعمل الشركة حالياً على تطوير واجهات بين الدماغ والحاسوب لاستعادة السمع والبصر، ومع استمرار تقدم التكنولوجيا، تأمل الشركة في استخدام هذه التقنية في المستقبل القريب للتعامل مع كل شيء بدءاً من استعادة الذكريات المفقودة إلى اضطراب ما بعد الصدمة وانتهاء بالاكتئاب.

ويعتقد الباحثون أن الغرسات يمكن أن تساعد في تعطيل أو إعادة برمجة الأنماط التي تؤدي إلى الاكتئاب أو اضطراب ما بعد الصدمة. يمكن أن تؤدي البيانات أيضاً إلى فهم جديد لحالات مثل الاكتئاب وكيفية تشخيصها، وفق ما أوردت صحيفة ديلي ستار البريطانية.وكالات

 

 

 

 

اكتشاف مخلوق غامض على شاطئ في أستراليا

 

شعر زوجان أستراليان بالحيرة بعد أن عثرا على مخلوق غريب الشكل على أحد الشواطئ الشعبية في البلاد.

وكان الزوجان يسيران على طول شاطئ باثرز في فريمانتل، غرب أستراليا، عندما صادفا المخلوق الغامض. والتقطا صورة لاكتشافهما الغريب ونشراها على فيسبوك بحثاً عن إجابات. وفي التسمية التوضيحة المرافقة للصورة كتب الزوجان “وجدنا هذا في باثرز بيتش اليوم … هل لديك فكرة ما هو؟”.

وسارع مستخدمو وسائل التواصل الاجتماعي في تقديم اقتراحاتهم مع بعض التعليقات الطريفة، وكتب أحدهم “سبب آخر للبقاء بعيداً عن المحيط”. وأضاف آخر “طفل فضائي”.

وحدد بعض مستخدمي وسائل التواصل الاجتماعي المخلوق الغامض بشكل صحيح على أنه شعاع التابوت. وتشتهر هذه الكائنات المعروفة أيضاً باسم الأشعة الصاعقة أو السمكة المخدرة، بقدرتها على إيصال الصدمات الكهربائية إلى فرائسها.

وأشار العديد من مستخدمي وسائل التواصل الاجتماعي إلى أن شعاع التابوت بدا جافاً بعض الشيء، وكتب أحدهم: “عادةً ما يكون لها أجنحة بهذا الشكل تقريباً على شكل ثمانية وذيل جاف، لكن ليس لها طرف طويل، وعادةً ما يكون مجرد ذيل قصير”.

ومن الأفضل تجنب أشعة التابوت، حيث تكون أعضاؤها الكهربائية قادرة على توصيل صدمات كهربائية تعادل 50 أمبير أو أكثر. وعلى الرغم من أن هذا المستوى من الصدمة لن يقتل الإنسان على الأرجح، إلا أنه يكفي لإحداث ألم شديد، بحسب صحيفة ديلي ميل البريطانية.وكالات

 

 

 

 

الجهاز الهضمي البشري أكثر تنوعا مما نعتقد

 

يعد الجهاز الهضمي البشري أكثر تنوعًا مما نعتقد، وفقًا لدراسة جديدة، مع وجود اختلافات كبيرة في تشريح الأمعاء حتى بين الأفراد الأصحاء. فقد أشار باحثون إلى أن هذا يشمل الفروق الفردية من شخص لآخر، بالإضافة إلى الاختلافات الأوسع مثل الفروق بين النساء والرجال.

وفي أحد الأمثلة الجديرة بالملاحظة، وجد الباحثون أن النساء يملن إلى امتلاك أمعاء دقيقة أطول من الرجال بمتوسط 30.7 سم. حسب الدكتورة أماندا هيل عالمة أحياء بجامعة ولاية كارولينا الشمالية (NCSU) المؤلفة الأولى المشاركة للدراسة.

وكشفت الدراسة أيضًا عن المزيد من الاختلافات الحبيبية، ما يشير إلى أن الجهاز الهضمي البشري الصحي أكثر تنوعًا مما كان العديد من الخبراء قد قدروه.

وتوضح هيل «كان هناك بحث منذ أكثر من قرن وجد تنوعًا في الأطوال النسبية للأمعاء البشرية. لكن تم تجاهل هذه المنطقة إلى حد كبير منذ ذلك الحين. وعندما بدأنا في استكشاف هذه المشكلة، اندهشنا من مدى التباين الذي وجدناه. فقد لاحظ الباحثون أن الدراسات حول مورفولوجيا الجهاز الهضمي البشري تلاشت شعبيتها قبل القرن العشرين، وأن حفنة من الدراسات التي أجريت منذ ذلك الحين ركزت على متوسط أطوال الأعضاء دون تسجيل الاختلاف بين الأفراد»، وذلك وفق ما نشر موقع «ساينس إليرت» العلمي المتخصص، نقلا عن «PeerJ».

ويشير مؤلفو الدراسة الجديدة إلى أن ذلك كان بمثابة إشراف كبير. وبناءً على النتائج التي توصلوا إليها، فإن الجهاز الهضمي البشري يأتي بشكل طبيعي مع مجموعة متنوعة من الاختلافات.

من جانبها، تقول الدكتورة إيرين ماكيني عالمة البيئة بـ«NCSU» «إذا كنت تتحدث إلى أربعة أشخاص مختلفين، فمن المحتمل أن تكون لديهم جميعًا أحشاء مختلفة من حيث الأحجام النسبية للأعضاء التي يتكون منها هذا النظام. فعلى سبيل المثال، الأعور عبارة عن عضو موجود في رابطة الأمعاء الغليظة والدقيقة. قد يكون لدى شخص ما أعور لا يزيد طولها على بضعة سنتيمترات، بينما قد يكون لدى شخص آخر بحجم محفظة النقود المعدنية. لقد وجدنا تباينًا مشابهًا للعديد من أعضاء الجهاز الهضمي».

وينوه الباحثون بأن هذا له آثار كبيرة على الرعاية الصحية، مؤكدين على أهمية التعرف على الفروق الفردية بأجهزة الجهاز الهضمي بدلاً من التركيز على التشريح النموذجي أو الطبيعي بين البشر بشكل عام.

وتضيف ماكيني «بالنظر إلى أن هناك تباينًا في تشريح الأمعاء البشرية أكثر مما كنا نظن، فإن هذا يمكن أن يخبرنا بفهمنا لما يقود مجموعة من القضايا المتعلقة بالصحة وكيف نتعامل معها». وتابعت «في الأساس، بعد أن علمنا أن هذا التباين موجود، فإنه يثير عددًا من الأسئلة البحثية التي تحتاج إلى استكشاف».

وفي هذا الاطار، يقول مؤلفو الدراسة إن أحد النتائج الرئيسية من هذا البحث هو أن طلاب الطب يجب أن يتعلموا عن اتساع التنوع في الجهاز الهضمي البشري. فيما تقول المؤلفة المشاركة روكسان لارسن عالمة الأحياء بجامعة مينيسوتا «ان اكتساب الخبرة في فهم التباين التشريحي يمكن أن يلعب دورًا حاسمًا في مساعدة الأطباء المستقبليين على فهم أهمية الطب الفردي»، مشيرة إلى أنه «من الواضح بشكل متزايد» أن المجال الطبي يتجه نحو نهج أكثر فردية.

ونظرت الدراسة أيضًا في الجهاز الهضمي بمجموعة من الحيوانات الأخرى، ووجدت أن «الأنواع الحيوانية تستثمر بشكل مختلف في أنسجة هضمية معينة»، مع وجود ارتباط كبير بين هذه المواقع داخل الأنواع.

وتستند البيانات البشرية في الدراسة الجديدة إلى فحوصات لأعضاء الجهاز الهضمي من 45 شخصًا تبرعوا برفاتهم لكلية الطب بجامعة ديوك.

ويفيد الباحثون بأنه «في حين أن هذه النتائج توحي بالكشف، إلا أن هناك حاجة إلى مزيد من البحث لإلقاء الضوء على الصورة الكاملة للتنوع في المسالك المعدية المعوية البشرية». بينما تذهب ماكيني الى القول «نحن متحمسون لهذا الاكتشاف والتوجهات المستقبلية للعمل. إنه يبرز مدى ضآلة معرفتنا بأجسادنا».وكالات

 

 

 

 

 

الكشف عن مجموعة كبيرة من الأواني الأثرية بالإسماعيلية

 

نجحت البعثة الأثرية المصرية – الإيطالية المشتركة بين المجلس الأعلى للآثار المصري، والمجلس الوطني للبحوث الإيطالية – معهد الدراسات القديمة بالبحر المتوسط (CNR) – العاملة بموقع «تل المسخوطة» بمحافظة الإسماعيلية (شمال شرقي مصر)، في «الكشف عن مجموعة كبيرة من الأواني والأمفورات تعود للعصرين المتأخر، واليوناني – الروماني». وأشار الدكتور مصطفى وزيري، الأمين العام للمجلس الأعلى للآثار في مصر، إلى أهمية هذا الكشف، حيث إنه «يزيل النقاب عن عدد من المعلومات الهامة التي تشير إلى أهمية هذه المنطقة قديماً كمقر تجاري». وأضاف أن «هذه المنطقة كانت مركزاً للتجارة والاتصالات الدولية خلال العصر الروماني، حيث كانت مصر مركزاً للتجارة الدولية، وذلك بفضل البنية التحتية الهامة في ذلك الوقت والمتمثلة في القناة التي كانت تربط بين البحر الأحمر والبحر المتوسط والمعروفة باسم قناة سيزوستريس».

فيما أوضحت الدكتورة أندريا أنجيلينا، رئيس البعثة، أن «البعثة نجحت أيضاً في الكشف عن منحدر ضخم يرتفع إلى أعلى السور الضخم الذي تم اكتشافه خلال أعمال الحفائر عام 2017، الذي يمثل الجانب الشمالي من سور المدينة الكبير، وكان المنحدر يساهم بشكل كبير في حماية إحدى القلاع الحربية الموجودة بالموقع ناحية الشرق، وكذلك الممر الذي كان يستخدم في تحصيل الرسوم والجمارك في طريق التجارة وتأمين القوافل التجارية وصد أي عدوان قادم من ناحية الشرق».

في سياق آخر، وفي إطار المتابعة المستمرة لوزارة السياحة والآثار المصرية لملف الآثار المصرية التي يتم بيعها وتداولها بالخارج، نجحت الإدارة العامة للآثار المستردة في رصد أحد المزادات المقامة بصالة Swan fine Arts في مدينة تتسورث بالمملكة المتحدة تقوم بعرض قطعتين أثريتين مصريتين ضمن معروضاتها. ووفق بيان لوزارة السياحة والآثار المصرية أمس الأول الأربعاء فقد أوضح الأمين العام للمجلس الأعلى للآثار بمصر، أن «وزارة السياحة والآثار قامت باتخاذ كل الإجراءات اللازمة بالتنسيق مع وزارة الخارجية المصرية عبر سفارتها في لندن وكل الجهات المعنية، للعمل على الاطلاع على المستندات الخاصة بالقطعتين والتأكد من طريقة خروجها من مصر»، مؤكداً أنه «في حال التأكد من خروج القطعتين بطريقة (غير شرعية) سيتم اتخاذ الإجراءات اللازمة كافة لوقف عملية البيع والتنسيق مع السلطات والجهات المعنية في مصر وكذا السلطات الإنجليزية للبدء في إتمام عملية استردادهما في أقرب وقت ممكن».

من جانبه، قال شعبان عبد الجواد، المشرف العام على الإدارة العامة للآثار المستردة، إن «القطعتين المعروضتين عبارة عن رأس ويد مومياء»، لافتاً إلى أنه «من غير المقبول عرض رفات بشرية للبيع والتداول، فهي ليست قطعاً فنية يمكن اقتناؤها في المنازل، بل هي أجزاء من أجساد بشرية يجب احترامها وتقديرها».وكالات

 

 

 

 

طرد الطيور في مطار «أورلي الفرنسي» بالألعاب النارية

 

يستخدم فريق أساليب جديدة بينها الألعاب النارية ومجموعة أصوات لطرد الطيور من مطار أورلي الفرنسي لمنعها من التسبب بمشاكل وأعطال في الطائرات، حسب وكالة الصحافة الفرنسية.

وتطلق كولين بليسي وهي تضع خوذة مانعة للضجيج ونظارات واقية وتحمل مسدساً، النار في الهواء، فيصدر صوت صفير ثم فرقعة، مما يؤدي إلى فرار الطيور الجارحة بعيداً عن المدرج. وتوضح “إنها ألعاب نارية. لم تُصنّع بهدف قتل الطيور بل لإحداث ضجيج” وإخافتها.

وتعمل بليسي كطاردة للطيور، وهي مهنة غير معروفة كثيراً لكنّها ضرورية في المطارات. ويقول المسؤول عن التنوع البيولوجي في أورلي سيلفان ليجال، في حديث إلى وكالة فرانس برس، إنّ “الاصطدام بالحيوانات هو ثاني أخطر احتمال لتعرّض الطائرة لحادثة كبيرة”.

وللمطارات التي تطغى عليها الخرسانة، مناطق برية محمية ترمي إلى حماية الطيران، تبلغ في أورلي مثلاً 600 هكتار. وتضم هذه المناطق مجموعة من الحيوانات كالثعالب والأرانب وأنواع كثيرة من الطيور من البشلون الرمادي إلى زاغ الجيف.

ويوضح ليجال أنّ الاصطدام بالحيوانات قد “يُحدث أضراراً كبيرة للطائرة”، كتوقف المحرك في حال سحبت المحركات النفاثة الطائر، أو إصابة الطيارين إذا اصطدم الطائر بالزجاج الأمامي. إلا أنّ الحوادث الخطرة على غرار ما سُجل في نيويورك عام 2009 حين استدعى تصادم إحدى الطائرات بإوز هبوطها اضطرارياً، نادرة. وفي أورلي، شهد عدد الحوادث التي تتطلب وقف الإقلاع أو عودة الطائرة إلى المطار انخفاضاً إلى النصف منذ العام 2014.

ويعود سبب انخفاض هذه الحوادث إلى تطوّر مهارات طاردي الطيور الـ11 في أورلي. ويقول ليجال “كنّا نوظّف في الماضي صيادين، لأننا كنّا بحاجة إلى شخص يدرك كيفية حمل سلاح”، مضيفاً “كنا نعمل ضد الطبيعة”.

إلا أنّ القوانين تغيّرت وكذلك العقليات، “فنعمل منذ العام 2014 لصالح الطبيعة”، إذ “بات السلاح حالياً آخر الحلول المُعتمدة”.

ويضيف “نوظّف راهناً علماء بيئيين، لأننا نحتاج إلى أشخاص” يتمتعون بـ”مهارات علمية”، بهدف توسيع المساحات الخضراء للحد من وجود الطيور قرب المدارج. ويوضح أنّ “معلومات الخبراء عن الحياة البرية” تساهم في “تحديد الأنواع وسلوكها بصورة سريعة، وإيجاد الخطة الأنسب” في حال كان تخويف الحيوانات ضرورياً.وكالات

 

 

 

 

العثور على رفات أسترالي داخل تمساحين

 

عُثر على رفات أسترالي داخل تمساحين، إثر فقدانه خلال ممارسته الصيد في مياه منطقة تنتشر، حسب وكالة الصحافة الفرنسية.

وقالت الشرطة إنّ الرجل البالغ 65 عاماً، والذي عرّفت عنه وسائل الإعلام الأسترالية باسم كيفن دارمودي، كان قد ذهب في رحلة صيد في شمال ولاية كوينزلاند “شمال شرق” مع سكّان محليين.

وبحسب القوى الأمنية، صدّت المجموعة تمساحاً للتمكّن من مباشرة الصيد. وسمع شهود في وقت لاحق الرجل “يصرخ ويستغيث بصوت عالٍ جداً، ثم تبع ذلك صوت دفق كبير للمياه”، وفق المفتش في شرطة كيرنز الأسترالية مارك هندرسون.

وقتل حراس مسلّحون بالبنادق في وقت لاحق تمساحين بطول أمتار عدة في حديقة ليكفيلد الوطنية، حيث كانت المجموعة موجودة للصيد.

ووصف مفتش الشرطة ما حصل بأنه “مأساة”، قائلاً إنّ تحاليل أجريت على التمساحين “أتاحت للأسف التعرّف على رفات الرجل المفقود”.

وقال هندرسون إنّ ضحية الحادثة كان “رجلاً لطيفاً للغاية” وكان مدير حانة من قرية ريفية في شمال الولاية.

وحذّر المسؤول عن المسائل المرتبطة بالثروة الحيوانية والنباتية في المنطقة مايكل جويس من أنّ كوينزلاند هي “أرض التماسيح”. وقال “إذا كنتم في المياه وخصوصاً في ليكفيلد، التي صُنّفت تحديداً (كموقع) لحماية التماسيح، يجب أن تتوقّعوا رؤية تماسيح في تلك المياه”.وكالات